
Wyobraźcie sobie Roberta, 68-letniego zapalonego wędrowca, który lekceważył sporadyczne kołatania serca, uznając je za nic poważnego.
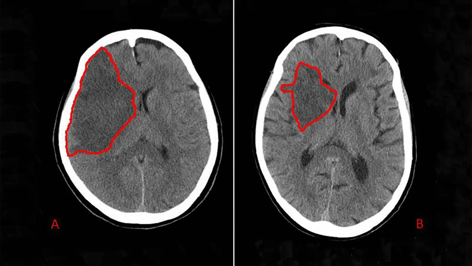
Pewnego ranka poczułem nagłe osłabienie. Badania wykazały, że migotanie przedsionków wywołało udar.
Badania wskazują, że migotanie przedsionków powoduje tworzenie się skrzepów w górnych komorach serca.
Te skrzepy mogą się odłączyć, blokując przepływ krwi do mózgu. Ale kolejne odkrycie zaskakuje najbardziej.
Jak migotanie przedsionków drastycznie zwiększa ryzyko udaru mózgu
W przypadku migotania przedsionków rytm serca staje się chaotyczny, co zmniejsza wydajność pompowania.
Zastój ten sprzyja powstawaniu krzepnięcia, zwłaszcza w uszku lewego przedsionka.
Badania wykazują, że migotanie przedsionków może znacznie zwiększać ryzyko udaru w porównaniu z osobami o prawidłowym rytmie.
Można by pomyśleć, że to rzadkie. Jednak częstość występowania wzrasta z wiekiem.